How To Fix Acute Necrotizing Ulcerative Gingivitis

Necrotizing ulcerative gingivitis nug is a typical form of periodontal diseases.
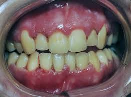
How to fix acute necrotizing ulcerative gingivitis. Nug may be an acute condition termed acute necrotizing ulcerative gingivitis or anug which when ignored can result in recurrences or a chronic condition. Systemic symptoms such as lymphadenopathy and malaise could be also found. Acute necrotizing ulcerative gingivitis. It s a serious condition but it s rare. General steps to treat anug are debridement rinses eg hydrogen peroxide chlorhexidine improved oral health and sometimes oral antibiotics.
Treatment should include the alleviation ol the acute symptoms and the correction ol the underlying chronic gingival disease. If nug is left untreated it can progress to the more severe forms. Treatment is gentle debridement improved oral hygiene mouth rinses supportive care and if debridement must be delayed antibiotics. Sequela of single or multiple episodes of necrotizing ulcerative gingivitis nug signs. Characterized by necrosis of gingival tissues and loss of periodontal ligament and alveolar bone see fig.
Trench mouth is most common in teenagers and younger adults. This study was designed to investigate the extent of probing attachment loss detectable followin. Patients with this condition also suffer from fever and halitosisi. Localized or generalized periodontitis with rapid sudden onset with excruciating intense pain. Necrotizing ulcerative gingivitis nuii can occur in a mouth essentially free of any other gingival involvement or he superimposed on underlying chronic gingival disease.
It has an acute clinical presentation with the distinctive characteristics of rapid onset of interdental gingival necrosis gingival pain bleeding and halitosis. Acute necrotizing ulcerative gingivitis anug occurs most frequently in smokers and debilitated patients who are under stress. Treatment of acute necrotizing ulcerative gingivitis. Acute necrotizing ulcerative gingivitis anug has been generally considered as a gingivitis. Acute necrotizing ulcerative gingivitis definition acute necrotizing ulcerative gingivitis or anug is characterized as a plymicrobial infection of the patient s gums that normally leads to bleeding inflammation necrotic gum tissue and deep ulcerations.
Dental tape rather than floss. However clinical impressions suggest that periodontal attachment loss is one of the sequelae of the disease. Necrotizing ulcerative gingivitis is described as the initial stage of the condition. Diagnosis is based on clinical findings. Necrotizing ulcerative gingivitis can usually be overcome in a couple of weeks with professional dental assistance commitment to brushing flossing and rinsing regularly and minimization of risk factors.